INTRODUCTION
Breast reconstruction following mastectomy plays a crucial role in restoring body image, psychological well-being, and quality of life. Among autologous techniques, the deep inferior epigastric perforator (DIEP) flap has emerged as the gold standard for its ability to preserve muscle function while achieving natural results 1,2. Accurate pre-operative estimation of breast volume is essential to ensure symmetry and is a challenge in unilateral reconstructions. Most of the times, volume estimation is a subjective exercise done by clinical examination of the abdominal laxity. This estimation would take experience and expertise to master leaving a need for an objective tool for accurate volume estimation of the flap. At present computed tomography angiography (CTA) has been used for evaluating perforator anatomy for flap harvest. In addition, it can also be used to determine volume of the abdomen and the breast. The only drawback is the radiation exposure 3. Because of this it has not been used to evaluate post-operative volumes of breast reconstruction. But this data is essential so that any further modifications such as fat grafting for volume matching are to be planned.
Recent technological advancements have introduced 3D surface scanning as a radiation-free, cost-effective, and rapid alternative for volumetric breast analysis. Three-dimensional imaging of the breast represents a significant advancement in plastic surgery, offering an objective and precise method to assess breast surface area, volume, shape, size, contour, and other surface measurements 4,5.Surface scanners can capture external contours accurately and, with appropriate calibration, provide reliable volumetric data. However, their validity in the clinical setting – particularly in comparison with CTA – is still under exploration. The purpose of our study was to validate 3D scanning as a tool for objective planning of flap harvest as well as assessment of reconstruction outcome.
MATERIALS AND METHODS
STUDY DESIGN AND PARTICIPANTS
This prospective observational study was conducted over a 36-month period at a tertiary care plastic surgery center. The study was approved by the Institutional Review Board. All procedures conformed to the Declaration of Helsinki and local regulatory requirements. Written informed consent for participation and use of de-identified data and images was obtained from all participants prior to enrolment. The sample size for our study was calculated based on the methodology described by Maximilian Eder et al. 6, who evaluated three-dimensional prediction of free-flap volume in autologous breast reconstruction using CT angiography. Following their approach, a minimum of 34-39 patients was considered adequate for achieving statistical reliability.
A total of 38 female patients undergoing unilateral DIEP flap breast reconstruction following mastectomy were enrolled after obtaining informed consent.
VOLUME ASSESSMENT
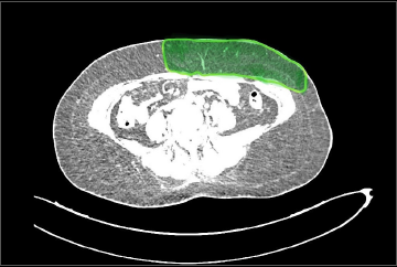
All patients underwent pre-operative volumetric analysis using both CT Angiography and 3D scanner. Post-operatively reconstructed breast volumes were measured using 3D scanner between 3-6 months. Breast volume on CT was measured by manually selecting the breast contour (Region of Interest, ROI) on each axial slice (Fig. 1). These ROIs were stacked to create a 3D reconstruction of the breast (Fig. 2). Hemiabdomen volume was measured on CTA from the anterior axillary line on the side of flap harvest, extending contralaterally up to the medial extent of the dominant perforator. This ROI corresponded to the anticipated DIEP flap territory based on perforator location and vascular dominance. Volume was then automatically calculated using Syringo.via software based on the cumulative ROI data(Fig. 3).
A handheld Artec 3d scanner was used to capture the patient’s chest in anm upright position (Fig. 4). The scanned data was imported into Artec Studio software, where the breast region was carefully segmented using manual and automatic boundary selection tools to isolate it from surrounding tissues. The Measures tool in Artec Studio was then used to compute the volume of the segmented breast model directly (Fig. 5).
All patients were asked to complete the BREAST-Q Reconstruction Module three months post-operatively. Domains included Psychosocial well-being, Physical well-being, Sexual well-being, Satisfaction with breasts, abdomen, surgeon, medical team, Overall quality of life and Fulfilment of expectations.
Statistical analyses were performed using SPSS v25. Pearson’s correlation coefficient was calculated to assess the correlation between post-operative volume of the reconstructed breast determined by 3d scanner with the pre-operative volumes of abdomen and healthy breast measured by CT scan. Intraclass Correlation Coefficient (ICC) was calculated to assess the agreement between CT and 3D scanner volumes of the healthy breast.
A paired t-test was used to compare the volumes of healthy and reconstructed breasts measured with 3D scanner. BREAST-Q scores were compared with previously published normative values using descriptive statistics. In addition, a Spearman’s rank correlation test was conducted to evaluate the relationship between the absolute volume difference (between the reconstructed and healthy breast measured by 3d scanner) and the Satisfaction with Breasts domain of the BREAST-Q to assess the impact of volume symmetry on patient-reported outcomes.
RESULTS
The age group of patients ranged from 26-66 years. Mean age group being 39.28 years, while maximum number patients were in between 28-47 years. The most common indication for mastectomy was Invasive Breast Carcinoma (61%) followed by Malignant Phylloides tumor (12%) (Tab. I).
Among the 38 patients, the mean breast volume measured by CT was 721.11 ± 151.46 cc, while the pre-operative 3D scanner volume was 701.47 ± 121.5 cc. The mean reconstructed breast volume, measured post-operatively with the 3D scanner, was 762 ± 137.07 cc. Mean hemiabdomen volume (CT): 787.3 ± 134.01 cc.
The correlation between pre-operative healthy breast volume on CT and post-operative reconstructed breast volumes on 3D scan was also substantial and significant: Pearson r = 0.981, p < 0.0001 (Fig. 6). Pearson’s correlation coefficient showed a strong and statistically significant positive correlation between hemiabdomen volume on CT and reconstructed breast volume on 3D scanning (r = 0.917, p < 0.0001), indicating that the volume estimated pre-operatively from the donor site reliably predicted the actual reconstructed volume (Fig. 7).
A paired t-test showed no significant difference between pre-operative volume of healthy breast and post-operative volumes of reconstructed breast measured by 3D scanner (p = 0.28). Similarly, there was no statistically significant difference between healthy breast volumes on CT assessed pre-operatively and reconstructed breast volumes when assessed with a 3D scanner post-operatively (p = 0.34). Additionally, an Intraclass Correlation Coefficient (ICC) of 0.91 (95% CI: 0.86-0.95) was calculated between the CT and 3D scanner volumes of healthy breast indicating excellent agreement (Fig. 8).
Breast Q questionnaire was evaluated in all patients between 3 and 6 months post-operatively (Tab. II). A negative correlation was observed between the volume difference (i.e., the absolute difference between the healthy breast volume and the reconstructed breast volume measured on the 3D scanner) and the Satisfaction with Breasts domain of the BREAST-Q (Spearman’s r = –0.58, p = 0.0014) (Fig. 9).
DISCUSSION
3D Scanning offers a simple and less cumbersome alternative to anthropometry, MRI and CT scan for volume assessment. Our study demonstrated a strong correlation between CT-measured and 3D scanner-measured breast volumes (r = 0.964, p < 0.0001). This supports the clinical interchangeability of 3D surface scanning with CT for pre-operative volumetric estimation. The Intraclass Correlation Coefficient (ICC) between CT-based and 3D scanner-based measurements of the healthy breast volume was found to be 0.91, indicating excellent agreement between the two methods. ICC provides a more robust measure of both correlation and absolute agreement, making it particularly relevant when validating two different measurement techniques. ICC values above 0.75 indicate good agreement; above 0.9 is considered excellent and reflects high consistency and interchangeability of CT and 3D surface scanning in breast volume estimation. This further reinforces the reliability of 3D scanning as a non-radiologic alternative to CT, especially in post-operative settings where repeat imaging may be needed.
Notably, the correlation between hemiabdomen volume (on CT) and reconstructed breast volume (on 3D scan) confirms that pre-operative CT volumetry of the donor site effectively predicts flap volume needed, reducing intraoperative guesswork. Previous research has similarly focused on improving the accuracy of pre-operative flap volume prediction. For instance, the FALD-V 7 and the LD-V 8 model introduced by Benedetto Longo et al. established a predictive formula for estimating the adipose tissue volume available for transfer in latissimus dorsi flaps to enhance reconstructive planning. The comparative approach used in our study is particularly valuable for surgeons and improves reproducibility in surgical planning. In our study, we have utilized the free-hand volume rendering tool for calculation of breast and hemiabdomen volumes on CT, which represents a shift from the traditional formula-based methods of abdominal volume estimation. Nanidis et al. previously demonstrated that formula-based calculations can achieve reasonable accuracy, with errors ranging between 6.4% and 6.8% 9. However, these methods are limited by their reliance on geometric assumptions and inability to fully account for the complex contours of the abdominal wall fully. Moreover, they require a considerable learning curve and are less adaptable to patient-specific anatomical variations. In contrast, free-hand volume rendering provides a more direct and individualized measurement by incorporating three-dimensional contour and surface irregularities, thereby potentially improving the accuracy and reproducibility of volumetric assessment in clinical practice.
In our post-operative analysis, there was no significant difference between the volumes of reconstructed and healthy breast measured on 3D scanner, confirming the scanner’s efficacy in guiding intraoperative decisions. These findings suggest that 3D scanning not only matches CT in accuracy but also offers advantages such as ease of use, repeatability, real-time application, and cost-efficiency.
We also examined patient-reported outcomes using the BREAST-Q reconstruction module. Our mean scores (e.g., psychosocial well-being = 79.7, satisfaction with breasts = 64.2) were favourable and compared well to normative values established in large cohorts such as Payne et al. 10 and Pusic et al. 11. Importantly, domains reflecting expectation fulfilment and satisfaction with the surgical team scored above 80, indicating consistent patient trust and favourable outcomes following our CT and 3D scanner–informed planning
The inverse correlation between volume difference and Satisfaction with Breasts domain emphasizes the clinical importance of achieving volume symmetry in autologous breast reconstruction. Our findings suggest that closer volumetric matching between the reconstructed and native breast, as guided by pre-operative CT and validated through post-operative 3D scanning, plays a pivotal role in determining patient satisfaction. This supports the use of objective, quantitative methods such as CT and 3D scanning not only for planning but also as tools to anticipate aesthetic outcomes. The purpose of the study was to validate 3D scanning as a tool for objective planning of flap harvest and assessment of reconstruction outcome.
Several methods have been employed for breast volume estimation, including plaster casting, water displacement, anthropometric measurements, magnetic resonance imaging (MRI), and computed tomography (CT) 12-15. While displacement and casting techniques are simple, they can be uncomfortable for patients and lack precision. MRI is regarded as highly accurate, but it is costly, time-consuming, and not routinely integrated into standard surgical protocols. CT, although reliable, is not recommended for post-operative assessments due to radiation exposure. In contrast, three-dimensional (3D) surface scanning offers a non-invasive, quick, and patient-friendly alternative that allows breast analysis in the standing position, closely mimicking natural contour and symmetry. Previous studies support its utility – Lee et al. demonstrated significant reliability and linear correlation between 3D scanning and MRI, despite low absolute agreement between the two techniques 16. Renée et al. also reported that 3D imaging tends to underestimate breast volumes compared to MRI, but maintains strong linear association and reproducibility 17. In line with these findings, our study showed a high intraclass correlation coefficient (ICC) between CT-derived volumes and 3D scanner measurements, reinforcing that 3D scanning is a valid, reliable, and clinically applicable method for breast volume estimation. Additionally, 3D surface scanning eliminates the variability and subjectivity associated with manual or water displacement methods traditionally used in volume estimation 10. It also allows objective documentation and digital storage, enabling longitudinal follow-up and comparison.
Importantly, our study underscores that pre-operative CT is still indispensable when assessing perforator anatomy. However, when the primary goal is volume assessment – especially for monitoring outcomes or planning symmetry – the 3D scanner provides an equally effective and safer alternative. This reduces intraoperative guesswork regarding the amount of flap volume to be harvested and helps design the flap accurately to match the contralateral breast.
Our study is limited by its single-center design and modest sample size. Future prospective studies involving larger patient cohorts and long-term follow-up are warranted to further establish the long-term accuracy and patient benefits of these technologies.
CONCLUSIONS
This study confirms that 3D surface scanning provides volumetric accuracy comparable to CT for planning and evaluating breast reconstruction using DIEP flap. The strong correlation between CT-based and 3D-scanner measured volumes highlights its reliability in achieving symmetry and reducing intraoperative uncertainty. 3D surface scanning thus offers an accurate, reproducible, and radiation-free method for volumetric assessment, serving as a practical, patient-centered alternative to CT and a powerful tool for objective, technology-assisted planning in breast reconstruction.
Conflict of interest statement
The authors declare no conflict of interest.
Funding
This research did not receive any specific grant from funding agencies in the public, commercial, or not-for-profit sectors.
Author contributions
SS: W
AK: A, O
NR: S, O
DC: O
FH: D
AS: D
Abbreviations
A: conceived and designed the analysis
D: collected the data
DT: contributed data or analysis tool
S: performed the analysis
W: wrote the paper
Ethical consideration
This study was approved by the All India Institute of Medical Sciences (AIIMS), Rishikesh (approval number AIIMS/IEC/23/497).
The research was conducted ethically, with all study procedures being performed in accordance with the requirements of the World Medical Association’s Declaration of Helsinki.
Written informed consent was obtained from each participant/patient for study participation and data publication.
History
Received: September 30, 2025
Accepted: October 25, 2025
Published online: December 19, 2025
Figures and tables
Figure 1. Breast volume on CT measured by manually selecting the breast contour (Region of Interest, ROI) on each axial slice.
Figure 2. ROIs stacked to create a 3D reconstruction of the breast and the volume of the breast.
Figure 3. ROI corresponding to the anticipated DIEP flap territory based on perforator location and volume of hemiabdomen calculated.
Figure 4. Image of the patient’s chest in upright position captured by handheld Artec 3D scanner.
Figure 5. The volume of the segmented breast model computed using Artec Studio.
Figure 6. Correlation between volumes of healthy breast measured on CT scan and volume of reconstructed breast measured on 3D scanner.
Figure 7. Correlation between volumes of reconstructed breast measured on 3D scanner and volume of hemiabdomen measured on CT.
Figure 8. Intraclass Correlation Coefficient between the CT and 3D scanner volumes of healthy breast (ICC- 0.91).
Figure 9. Correlation between volume difference vs satisfaction with the breast domain of Breast Q questionnaire.
| S. No. | Age | Diagnosis | Healthy Breast Volume (3D, cc) | Post-op Reconstructed Volume (3D, cc) | Breast Volume (CT, cc) | Hemiabdomen Volume (CT, cc) | Volume Difference (cc) | BREAST-Q Score (Satisfaction with breast Domain) |
|---|---|---|---|---|---|---|---|---|
| 1 | 39 | Malignant phylloides tumor | 402 | 450 | 508 | 504 | 48 | 73 |
| 2 | 43 | Benign phylloides tumor | 504 | 572 | 598 | 605 | 68 | 71 |
| 3 | 34 | Invasive breast carcinoma | 585 | 624 | 672 | 683 | 39 | 82 |
| 4 | 38 | Invasive breast carcinoma | 573 | 634 | 686 | 694 | 61 | 74 |
| 5 | 39 | Ductal carcinoma in situ | 592 | 654 | 682 | 704 | 66 | 78 |
| 6 | 47 | Infiltrating ductal carcinoma | 870 | 834 | 922 | 943 | 36 | 86 |
| 7 | 29 | Borderline phylloides tumor | 985 | 910 | 974 | 986 | 75 | 68 |
| 8 | 42 | Invasive breast carcinoma | 903 | 843 | 964 | 978 | 60 | 71 |
| 9 | 51 | Ductal carcinoma in situ | 868 | 854 | 904 | 920 | 89 | 66 |
| 10 | 50 | Malignant phylloides tumor | 884 | 824 | 976 | 983 | 60 | 68 |
| 11 | 32 | Infiltrating ductal carcinoma | 489 | 543 | 584 | 603 | 54 | 78 |
| 12 | 35 | Invasive breast carcinoma | 739 | 692 | 746 | 757 | 47 | 72 |
| 13 | 33 | Ductal carcinoma in situ | 684 | 627 | 658 | 668 | 57 | 68 |
| 14 | 48 | Invasive ductal carcinoma | 576 | 604 | 640 | 683 | 28 | 82 |
| 15 | 37 | Right Invasive breast carcinoma | 498 | 567 | 598 | 634 | 69 | 73 |
| 16 | 29 | Invasive breast carcinoma | 612 | 590 | 648 | 700 | 22 | 77 |
| 17 | 39 | Invasive breast carcinoma | 728 | 701 | 760 | 712 | 27 | 80 |
| 18 | 33 | Invasive breast carcinoma | 655 | 632 | 670 | 720 | 23 | 75 |
| 19 | 66 | Invasive breast carcinoma | 812 | 780 | 840 | 834 | 32 | 83 |
| 20 | 26 | Invasive breast carcinoma | 694 | 664 | 708 | 765 | 30 | 76 |
| 21 | 31 | Benign phylloides tumor | 602 | 579 | 630 | 689 | 23 | 79 |
| 22 | 39 | Invasive breast carcinoma | 722 | 688 | 752 | 810 | 34 | 74 |
| 23 | 43 | Malignant phylloides tumor | 840 | 802 | 870 | 910 | 38 | 81 |
| 24 | 37 | Invasive breast carcinoma | 765 | 734 | 792 | 860 | 31 | 77 |
| 25 | 32 | Invasive breast carcinoma | 580 | 552 | 602 | 640 | 28 | 70 |
| 26 | 47 | Right malignant phylloides | 694 | 660 | 728 | 780 | 34 | 73 |
| 27 | 48 | Invasive breast carcinoma | 825 | 790 | 860 | 910 | 35 | 82 |
| 28 | 39 | Right breast phylloides | 934 | 890 | 972 | 1010 | 44 | 79 |
| 29 | 41 | Invasive breast carcinoma | 748 | 715 | 782 | 810 | 33 | 76 |
| 30 | 39 | Left Invasive breast carcinoma | 622 | 592 | 654 | 700 | 30 | 74 |
| 31 | 34 | Recurrent phylloides tumor | 885 | 848 | 918 | 980 | 37 | 78 |
| 32 | 60 | Invasive breast carcinoma | 694 | 662 | 720 | 775 | 32 | 71 |
| 33 | 29 | Recurrent phylloides tumor | 801 | 765 | 830 | 890 | 36 | 80 |
| 34 | 34 | Invasive breast carcinoma | 917 | 876 | 948 | 1002 | 41 | 82 |
| 35 | 37 | Invasive breast carcinoma | 689 | 654 | 715 | 748 | 35 | 73 |
| 36 | 38 | Invasive breast carcinoma | 602 | 574 | 628 | 611 | 28 | 75 |
| 37 | 42 | Invasive breast carcinoma | 745 | 712 | 776 | 820 | 33 | 77 |
| 38 | 33 | Invasive breast carcinoma | 1012 | 964 | 1050 | 896 | 48 | 84 |
| Variables | Mean | Range |
|---|---|---|
| Psychosocial well being | 79.697 | 75-95 |
| Physical well being | 69.7333333 | 45-89 |
| Sexual well being | 67.7407407 | 42-88 |
| Satisfaction with breasts | 64.23333333 | 39-78 |
| Satisfaction with abdomen | 65.66666667 | 25-100 |
| Satisfaction with surgeon | 89.7667 | 41-100 |
| Satisfaction with medical team | 84.3636 | 61-100 |
| Satisfaction with quality of life | 57.4848 | 28-100 |
| Expectation | 81.2121 | 75-100 |

